The presence of a cerebral aneurysm in patients with pituitary adenoma is a rare event. Diagnostic suspicion may stem from magnetic resonance imaging, which should lead to complementary investigation. As for treatment, even in conditions in which there has been no previous bleeding, the simultaneous approach should be considered, prioritising the aneurysm most of the time.
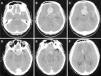
The present report describes the case of a patient with a history of pituitary macroadenoma, who had undergone a partial transsphenoidal resection ten years earlier. Admission to our service occurred after a sudden headache followed by mental confusion. A cranial computed tomography showed subarachnoid haemorrhage and expansive suprasellar lesion. Cerebral angiography showed a saccular aneurysm of the anterior communicating complex. The patient underwent a surgical procedure for microsurgical clipping of the aneurysm and partial resection of the pituitary tumour. We have also included a brief review of the literature on this subject.
La presencia de aneurisma cerebral en pacientes con adenoma pituitario es un evento raro. La sospecha diagnóstica se puede obtener con la resonancia magnética, que debería conducir a una investigación complementaria. En cuanto al tratamiento, incluso en condiciones en las que no ha habido ningún sangrado previo, el enfoque simultáneo debe ser considerado, priorizando el aneurisma mayor parte del tiempo.
El presente informe describe el caso de una paciente con antecedentes de macroadenoma hipofisario, que fue sometido a una resección transesfenoidal parcial diez años antes. La entrada a nuestro servicio se produjo después de que un dolor de cabeza repentino seguido por la confusión mental. Una tomografía computarizada craneal mostró hemorragia subaracnoidea y lesión supraselar expansiva. La angiografía cerebral mostró un aneurisma sacular del complejo comunicante anterior. El paciente se sometió a un procedimiento quirúrgico para clipaje de aneurisma y la resección parcial del tumor pituitario. También hemos incluido una breve revisión de la literatura sobre este tema.
Artículo

Si es la primera vez que accede a la web puede obtener sus claves de acceso poniéndose en contacto con Elsevier España en suscripciones@elsevier.com o a través de su teléfono de Atención al Cliente 902 88 87 40 si llama desde territorio español o del +34 932 418 800 (de 9 a 18h., GMT + 1) si lo hace desde el extranjero.
Si ya tiene sus datos de acceso, clique aquí.
Si olvidó su clave de acceso puede recuperarla clicando aquí y seleccionando la opción "He olvidado mi contraseña".
 
										
				







