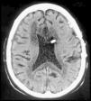
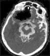
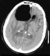
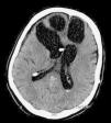
Spontaneous pneumocephalus following cerebrospinal fluid shunt is a rare complication. In most cases, the air enters in the intracranial cavity via a skull base defect. We report 2 cases of delayed tension pneumocephalus, secondary to ventriculoperitoneal shunt, and review the etiopathogenesis, prevention and treatment of this condition.
El neumoencéfalo a tensión es una rara complicación después de la colocación de sistemas de derivación de líquido cefalorraquídeo. En la mayoría de casos la etiopatogenia está relacionada con un defecto de la base del cráneo. Presentamos 2 casos de neumoencéfalo tardío a tensión después de la colocación de derivación ventriculoperitoneal y revisamos la literatura, analizando los mecanismos de etiopatogenia, así como las posibles formas de prevención y tratamiento.
Artículo

Si es la primera vez que accede a la web puede obtener sus claves de acceso poniéndose en contacto con Elsevier España en suscripciones@elsevier.com o a través de su teléfono de Atención al Cliente 902 88 87 40 si llama desde territorio español o del +34 932 418 800 (de 9 a 18h., GMT + 1) si lo hace desde el extranjero.
Si ya tiene sus datos de acceso, clique aquí.
Si olvidó su clave de acceso puede recuperarla clicando aquí y seleccionando la opción "He olvidado mi contraseña".
 
										
				











