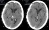
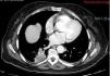
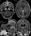
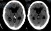
Presentamos el caso de una paciente de 72 años de edad sin antecedentes de interés que consultó en urgencias por un cuadro de 2 semanas de evolución de alteración de la marcha, cefalea y vómitos. El TAC craneal reveló la presencia de hidrocefalia obstructiva secundaria a una lesión pineal con impronta en el tercer ventrículo. La resonancia magnética mostró, además de la lesión ya referida, otra más pequeña situada en el foramen de Lushcka derecho. Se llevó a cabo una ventriculostomía endoscópica del suelo del tercer ventrículo y la biopsia endoscópica de la lesión, cuyo resultado fue de metástasis compatible con carcinoma de pulmón. Se realizó un TAC toracoabdominopélvico que mostró una masa pulmonar compatible con el carcinoma primario. Se decidió tratamiento sistémico de la enfermedad. La paciente falleció 2 meses tras el diagnóstico.
A 72-year-old female with no relevant medical history consulted in the emergency room for a two-week history of headache, vomiting and gait disturbance. Head CT scan revealed obstructive hydrocephalus secondary to a pineal mass with compression of the third ventricle. Magnetic Resonance showed another mass located in the right Lushcka foramen. Endoscopic third-ventriculostomy and biopsy of pineal mass were performed. Pathological analysis was consistent with metastasis of carcinoma. Full-body CT scan showed a lung mass related to primary carcinoma. The patient received systemic treatment for metastatic lung cancer. She died two months after diagnosis.
Article

If it is the first time you have accessed you can obtain your credentials by contacting Elsevier Spain in suscripciones@elsevier.com or by calling our Customer Service at902 88 87 40 if you are calling from Spain or at +34 932 418 800 (from 9 to 18h., GMT + 1) if you are calling outside of Spain.
If you already have your login data, please click here . p>
If you have forgotten your password you can you can recover it by clicking here and selecting the option ¿I have forgotten my password¿.









