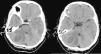
Presentamos el caso de una mujer de 52 años, sin antecedentes de interés, que fue derivada a nuestro centro tras ser diagnosticada de una lesión ocupante de espacio en el hemisferio cerebeloso derecho. La sospecha inicial era de metástasis. En la RMN cerebral, sin embargo, se apreciaba una marcada restricción en la secuencia de difusión concordante con un absceso cerebeloso. La paciente se había sometido a una limpieza dental tres semanas antes. El análisis microbiológico tras la evacuación quirúrgica de la lesión mostró la presencia de Streptococcus intermedius.
A 52-year-old woman with no relevant previous medical history was diagnosticated of an infratentorial bulky cerebellar mass. The mass showed restricted diffusion on MR images, which was consistent with cerebellar abscess. The patient had undergone a minor dental procedure three weeks before. Microbiological analysis after surgical evacuation of the mass confirmed the presence of Streptococcus intermedius.
Article

If it is the first time you have accessed you can obtain your credentials by contacting Elsevier Spain in suscripciones@elsevier.com or by calling our Customer Service at902 88 87 40 if you are calling from Spain or at +34 932 418 800 (from 9 to 18h., GMT + 1) if you are calling outside of Spain.
If you already have your login data, please click here . p>
If you have forgotten your password you can you can recover it by clicking here and selecting the option ¿I have forgotten my password¿.







