La presencia de aire dentro de la cavidad intracraneal es una entidad rara que se conoce con el nombre de neumoencéfalo y en la mayoría de los casos no presenta repercusión clínica salvo cuando ocasiona un aumento de la presión intracraneal que puede llegar a producir un deterioro del nivel de conciencia, coma e incluso la muerte.
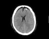
Presentamos un caso, poco frecuente, de un varón joven sin antecedentes personales de interés que ingresa en una unidad de cuidados intensivos para vigilancia tras un accidente de tráfico con traumatismo craneoencefálico asintomático y con tomografía computarizada craneal de ingreso «sin hallazgos significativos». Durante su estancia en la unidad de cuidados intensivos se aplica presión positiva en la vía aérea con ventilación mecánica no invasiva que genera entrada de aire en la cavidad intracraneal (neumoencéfalo) que condiciona deterioro neurológico importante con necesidad de cirugía urgente.
The presence of air inside intracranial cavity is a rare entity known as pneumocephalus and in most cases doesn¿t present any clinical repercussion except in case of elevated intracranial pressure that can lead to a decreasing level of consciousness, coma and even death.
We present a rare case of a young male, without medical precedents of interest, hospitalized in an intensive care unit for vigilance after a traffic accident with asymptomatic crane encephalic trauma and cranial computerized tomography without meaningful findings. During the intensive care unit stay positive pressure is applied in airway with non-invasive mechanical ventilation that produces air entrance in cranial cavity (pneumocephalus) causing neurological deterioration and necessity of urgent surgery.
Article

If it is the first time you have accessed you can obtain your credentials by contacting Elsevier Spain in suscripciones@elsevier.com or by calling our Customer Service at902 88 87 40 if you are calling from Spain or at +34 932 418 800 (from 9 to 18h., GMT + 1) if you are calling outside of Spain.
If you already have your login data, please click here . p>
If you have forgotten your password you can you can recover it by clicking here and selecting the option ¿I have forgotten my password¿.







