Es frecuente observar la persistencia de colecciones extraaxiales tras craneotomías. La mayoría de estas, desaparecen en semanas o meses pero algunas perduran. La aparición de clínica focal o el crecimiento de estas colecciones persistentes meses o años después de la cirugía pueden indicar la presencia de una infección crónica y latente por gérmenes de baja virulencia como Propionibacterium acnes (P. acnes).
MétodosPresentamos dos casos clínicos con colecciones extraaxiales persistentes, que precisaron cirugía, años después de su diagnóstico, en los que se aisló P. acnes como agente etiológico y revisamos la literatura publicada al respecto.
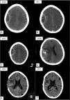
ResultadosSe trata de dos pacientes que posterior a procedimientos quirúrgicos (craniectomía descompresiva por TCE grave y craneotomía por meningioma parietal derecho) desarrollaron colecciones extraaxiales que se mantuvieron vigiladas en el tiempo y que luego se infectaron y precisaron evacuación urgente de las mismas. En estas coleccionas creció el P. acnes como agente causal y precisó antibioterapia dirigida.
ConclusionesDebemos tomar en cuenta al P. acnes como agente infeccioso de colecciones posquirúrgicas de larga evolución. La presentación atípica y los cambios radiológicos pueden ser de ayuda en el diagnóstico.
It is common to observe the persistence of extra-axial collections after craniotomies. Most of these disappear in weeks or months but some remain. The onset of focal symptoms or the growth of these persistent collections months or years after surgery may indicate the presence of a chronic and latent infection by germs of low virulence such as Propionibacterium acnes (P. acnes).
MethodsWe present two clinical cases with persistent extra-axial collections, which required surgery years after diagnosis, in which P. acnes was isolated as an aetiological agent and we reviewed the literature published in this regard.
ResultsThese are two patients who, following surgical procedures (decompressive craniectomy for severe TBI and craniotomy for right parietal meningioma) and extra-axial collections were kept, which were monitored over time and then were infected and required emergency evacuation. In these collections P. acnes grew as a causal agent and required targeted antibiotics.
ConclusionsWe must consider P. acnes as an infectious agent of post-surgical collections of long evolution. Atypical presentation and radiological changes may be helpful in diagnosis.
Article

If it is the first time you have accessed you can obtain your credentials by contacting Elsevier Spain in suscripciones@elsevier.com or by calling our Customer Service at902 88 87 40 if you are calling from Spain or at +34 932 418 800 (from 9 to 18h., GMT + 1) if you are calling outside of Spain.
If you already have your login data, please click here . p>
If you have forgotten your password you can you can recover it by clicking here and selecting the option ¿I have forgotten my password¿.






