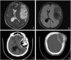
Skull vault hemangiomas are benign vascular tumours of the calvaria that are usually asymptomatic or present as firm, painless lumps. We present a case of a 59-year-old female with a giant intraosseous calvarial hemangioma that was admitted in our department with a palpable mass over the left frontoparietal region, personality changes and impaired emotional and cognitive functions. The patient was treated with a two-step approach involving endovascular and surgical treatment, and suffered two rare, but recognized complications, a contrecoup intracerebral haemorrhage and valproate-induced stupor and parkinsonism. At the 6-month follow-up, the patient had complete recovery with a good neurological outcome.
Los hemangiomas de la bóveda craneal son tumores vasculares benignos de la calota que suelen ser asintomáticos o aparecen como bultos firmes e indoloros. Presentamos el caso de una mujer de 59 años con un hemangioma de calota intraóseo gigante que ingresó en nuestra unidad con una masa palpable en la región frontoparietal izquierda, con cambios de personalidad y con la alteración de las funciones emocional y cognitiva. La paciente recibió tratamiento con un método de dos pasos que incluía terapia endovascular y quirúrgica, y experimentó dos complicaciones poco frecuentes, pero reconocidas: hemorragia cerebral por contragolpe, así como estupor y parkinsonismo inducidos por valproato. A los seis meses de seguimiento, la mujer se recuperó por completo con un buen desenlace neurológico.
Artículo

Si es la primera vez que accede a la web puede obtener sus claves de acceso poniéndose en contacto con Elsevier España en suscripciones@elsevier.com o a través de su teléfono de Atención al Cliente 902 88 87 40 si llama desde territorio español o del +34 932 418 800 (de 9 a 18h., GMT + 1) si lo hace desde el extranjero.
Si ya tiene sus datos de acceso, clique aquí.
Si olvidó su clave de acceso puede recuperarla clicando aquí y seleccionando la opción "He olvidado mi contraseña".








