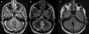
El tumor glioneuronal formador de rosetas del IV ventrículo es un tumor primario del sistema nervioso central introducido en el grupo de tumores glioneuronales en la clasificación de la OMS de 2007. Inicialmente se describió alrededor del IV ventrículo, pero recientemente se han publicados casos en distintas localizaciones. Presentamos 2casos de este raro tumor, ambos tratados quirúrgicamente. El primero en un varón de 41 años de edad, con síntomas típicos de lesión de fosa posterior; el segundo, en una mujer de 18 años de edad, con hallazgo incidental de lesión en fosa posterior que también fue tratada quirúrgicamente. Presentamos imágenes de resonancia magnética pre- y posquirúrgicas, aportamos imágenes histológicas de este tumor y realizamos una revisión de la literatura.
Rosette-forming glioneuronal tumor of the fourth ventricle is a primary central nervous system tumor introduced in the group of glioneuronal tumors in the WHO classification of 2007. Initially it was described around the fourth ventricle, but recently have been published cases in different locations.
We present 2cases of this rare tumor, both surgically treated. The first in a 41 year old man with typical symptoms of posterior fossa injury. The second in an 18 year old woman, with incidental finding of posterior fossa injury that was also surgically treated.
We present pre- and post-surgical magnetic resonance images, histological pictures of this tumor and we make a review of the literature.
Artículo

Si es la primera vez que accede a la web puede obtener sus claves de acceso poniéndose en contacto con Elsevier España en suscripciones@elsevier.com o a través de su teléfono de Atención al Cliente 902 88 87 40 si llama desde territorio español o del +34 932 418 800 (de 9 a 18h., GMT + 1) si lo hace desde el extranjero.
Si ya tiene sus datos de acceso, clique aquí.
Si olvidó su clave de acceso puede recuperarla clicando aquí y seleccionando la opción "He olvidado mi contraseña".








