El tumor glioneuronal formador de rosetas (TGFR) del cuarto ventrículo es un tumor infrecuente que ha sido recientemente caracterizado. Fue incluido como una nueva neoplasia glioneural en el año 2007 por la Organización Mundial de la Salud (OMS) en la clasificación de tumores del sistema nervioso central. Dentro de este grupo hemos encontrado 34 casos documentados. En este artículo presentamos un nuevo caso de TGFR del cuarto ventrículo con hemorragia intratumoral postraumática y revisamos la literatura existente de esta nueva entidad.
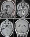
Caso clínicoPaciente de 30 años que tras sufrir traumatismo craneoencefálico leve presentó cefalea, diplopía y ataxia. Los estudios de tomografía computarizada y resonancia magnética cerebral revelaron una tumoración a nivel del cuarto ventrículo con sangrado intralesional y áreas de calcificación. La paciente fue intervenida realizándose extirpación tumoral macroscópicamente completa. El estudio anatomopatológico mostró un tumor glioneuronal formador de rosetas del cuarto ventrículo.
ConclusionesLos TGFR del cuarto ventrículo son raros y afectan a adultos jóvenes. La evidencia demuestra que el pronóstico suele ser favorable, pero existe la posibilidad de progresión y recidiva. La hemorragia intratumoral es una forma de presentación muy poco habitual que implica riesgo para la vida del paciente. La resección quirúrgica debe ser cuidadosa debido a la localización de estas lesiones y su extensión hacia zonas críticas. Todos los pacientes, independientemente del grado de resección logrado, precisan un seguimiento a largo plazo por el riesgo de recidiva tardía.
Rosette-forming glioneuronal tumor (RGNT) of the fourth ventricle is a rare tumor that has been recently characterized. RGNT was included as a new glioneuronal tumor in 2007 by the World Health Organization (WHO) in classification of tumors of the central nervous system. Within this group we found 34 documented cases. We present a new case of RGNT of the fourth ventricle with intratumoral posttraumatic bleeding and review the existing literature of this new entity.
Case reportA 30-year-old patient was admitted after suffering mild traumatic brain injury (TBI) had headache, diplopia and ataxia. Studies of computed tomography and magnetic resonance imaging revealed a tumor at the fourth ventricle with intralesional bleeding and areas of calcification. She was operated performing macroscopically complete tumor resection. Pathologic examination showed a rosette-forming glioneuronal tumor of the fourth ventricle.
ConclusionsThe RGNT of the fourth ventricle are rare and affect young adults. The evidence shows that the prognosis is usually favorable but there is the possibility of progression and recurrence. Intratumoral hemorrhage is a very unusual presentation that involves risk to the patient's life. Surgical resection should be careful due to the location of these lesions and their extension into critical areas, all patients regardless of extent of resection achieved require a long-term monitoring of the risk of late relapse.
Artículo

Si es la primera vez que accede a la web puede obtener sus claves de acceso poniéndose en contacto con Elsevier España en suscripciones@elsevier.com o a través de su teléfono de Atención al Cliente 902 88 87 40 si llama desde territorio español o del +34 932 418 800 (de 9 a 18h., GMT + 1) si lo hace desde el extranjero.
Si ya tiene sus datos de acceso, clique aquí.
Si olvidó su clave de acceso puede recuperarla clicando aquí y seleccionando la opción "He olvidado mi contraseña".









