The widespread use of decompressive craniectomy and subsequent cranioplasty has led to a better understanding of its complications. However, cases of a sunken bone flap have hardly ever been described. We present the eighth case reported up to date and perform a review of the literature of this sporadic complication.
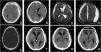
A 40-year-old Caucasian male suffered a traumatic brain injury that required a decompressive craniectomy. One month after initial trauma autologous cranioplasty was performed. A ventriculoperitoneal shunt was also placed. Neurological status progressively improved but his therapist noted cognitive status decline 8 months later. Follow-up computed tomography showed a progressive sinking bone flap. The patient underwent bone flap removal and a custom-made calcium phosphate-based implant was inserted, leading to symptoms resolution.
Bone resorption has been described as the main cause of sinking bone flap following cranioplasty. This entity may manifest with symptoms of overdrainage in patients with cerebrospinal fluid shunt devices.
El uso extendido de la craniectomía descompresiva y la consiguiente craneoplastia ha propiciado un mejor conocimiento de sus complicaciones. Sin embargo, esporádicamente se han descrito casos de hundimiento del colgajo óseo. Describimos el octavo caso descrito hasta la fecha y realizamos una revisión de la literatura de esta infrecuente complicación.
Un varón de 40 años sufrió un traumatismo craneoencefálico que requirió craniectomía descompresiva. Un mes después se sometió a la reposición de su colgajo óseo, junto con la implantación de una derivación ventriculoperitoneal. Presentó mejoría neurológica progresiva que se frenó y empeoró ocho meses después. La tomografía computarizada de control mostró hundimiento progresivo del colgajo óseo. El paciente se sometió a la retirada del colgajo óseo y cranioplastia con implante a medida, con resolución de los síntomas.
La resorción ósea se ha descrito como la principal causa del hundimiento del colgajo óseo tras cranioplastia. Sin embargo, esta entidad puede manifestarse como síntomas de sobredrenaje en pacientes con derivación de líquido cefalorraquídeo.
Artículo

Si es la primera vez que accede a la web puede obtener sus claves de acceso poniéndose en contacto con Elsevier España en suscripciones@elsevier.com o a través de su teléfono de Atención al Cliente 902 88 87 40 si llama desde territorio español o del +34 932 418 800 (de 9 a 18h., GMT + 1) si lo hace desde el extranjero.
Si ya tiene sus datos de acceso, clique aquí.
Si olvidó su clave de acceso puede recuperarla clicando aquí y seleccionando la opción "He olvidado mi contraseña".
 
										
				








