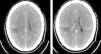
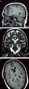
La paquimeningitis hipertrófica crónica (PHC) es un proceso inflamatorio de etiología desconocida que se caracteriza por afectar a la duramadre, provocando un crecimiento pseudotumoral de la misma. La clínica de presentación es consecuencia del efecto compresivo sobre estructuras neurológicas aunque en ocasiones se manifiesta por síntomas irritativos. El diagnóstico se realiza por exclusión de causas infecciosas, neoplásicas y autoinmunes fundamentalmente. El tratamiento esteroideo se considera la terapia más utilizada hoy en día. Se presentan 2 casos clínicos de PHC en los que se practicó resección quirúrgica de la lesión sin precisar posteriormente tratamiento coadyuvante dada la favorable evolución clínica y radiológica.
Chronic hypertrophic pachymeningitis is an inflammatory process of unknown aetiology characterised by a thickening of the dura mater causing pseudotumoural growth. Clinical manifestations are usually secondary to compression of adjacent neurological structures but may be also secondary to inflammatory processes. Diagnosis is mainly obtained by excluding infectious, neoplastic and autoimmune causes. Nowadays, steroid treatment is the most commonly used therapy. Two clinical cases of hypertrophic pachymeningitis are presented which were treated by surgery without any additional treatment and with good clinical and radiological development.
Artículo

Si es la primera vez que accede a la web puede obtener sus claves de acceso poniéndose en contacto con Elsevier España en suscripciones@elsevier.com o a través de su teléfono de Atención al Cliente 902 88 87 40 si llama desde territorio español o del +34 932 418 800 (de 9 a 18h., GMT + 1) si lo hace desde el extranjero.
Si ya tiene sus datos de acceso, clique aquí.
Si olvidó su clave de acceso puede recuperarla clicando aquí y seleccionando la opción "He olvidado mi contraseña".












