Las malformaciones arteriovenosas espinales constituyen una entidad con una baja prevalencia y un diagnóstico en ocasiones complejo que precisa la colaboración de diferentes especialidades médicas. El abordaje multidisciplinar requiere una comunicación fluida entre servicios, ambiente laboral favorable y unas relaciones sociales correctas que traten de evitar la aparición de conflictos de intereses.
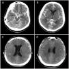
Presentamos el caso de una mujer de 31 años remitida a nuestro departamento con una paraparesia asimétrica progresiva de 10 meses de evolución y disfunción vesical ocasional. Con el diagnóstico de malformación arteriovenosa espinal de tipo IV, se realizó una embolización programada tras la que se produjo una hemorragia subaracnoidea masiva debido a la laceración de la arteria espinal anterior que precisó una craniectomía bifrontal urgente. Discutimos el papel del neurocirujano en el tratamiento de las complicaciones derivadas del tratamiento endovascular de la patología espinal.
Spinal arteriovenous malformations are rare diseases with a low prevalence and a complex diagnosis that usually requires the several neuroscience disciplines collaboration. Multidisciplinary approach requires fluid communication, favorable work environment and a correct social relationship, thus avoiding the conflict of interest appearance.
We reported a 31 years old female referred to our department with progressive asymmetric spastic paraparesia for 10 months of evolution and occasional bladder dysfunction. With the diagnosis of a type IV arteriovenous malformation, a scheduled embolization was performed resulting in a massive subarachnoid hemorrhage due to the ASA laceration requiring an emergency bifrontal craniectomy. We discuss the neurosurgeońs role in complications during endovascular spinal vascular pathology treatment.
Artículo

Si es la primera vez que accede a la web puede obtener sus claves de acceso poniéndose en contacto con Elsevier España en suscripciones@elsevier.com o a través de su teléfono de Atención al Cliente 902 88 87 40 si llama desde territorio español o del +34 932 418 800 (de 9 a 18h., GMT + 1) si lo hace desde el extranjero.
Si ya tiene sus datos de acceso, clique aquí.
Si olvidó su clave de acceso puede recuperarla clicando aquí y seleccionando la opción "He olvidado mi contraseña".









