Analizar las características demográficas, clínicas, radiológicas y los resultados quirúrgicos de una serie de pacientes jóvenes con hematoma subdural crónico.
Pacientes y métodosEstudio retrospectivo que incluye 42 pacientes con edad inferior a 40 años diagnosticados y tratados quirúrgicamente de un hematoma subdural crónico durante un período de 30 años (1982-2011).
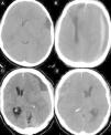
ResultadosLa serie consta de 32 varones y 10 mujeres con una edad media de 29,3±8,9 años (intervalo 4-39). El período transcurrido entre el traumatismo y el inicio de la sintomatología fue de 33,4±9,7 días (intervalo 19-95). Los principales síntomas de presentación fueron la cefalea (59,5%) y las crisis comiciales (21,4%), y los factores predisponentes más frecuentes fueron tener implantada una derivación ventrículo-peritoneal en 5 (11,9%) casos y los trastornos hematológicos en otros 5 (11,9%) pacientes. El hematoma fue derecho en 21 pacientes (50%), izquierdo en 19 (45,3%) y bilateral en los restantes 2 (4,7%). Se produjeron 2 complicaciones postoperatorias: un caso de recidiva y un hematoma subdural agudo sobre la cavidad del hematoma. No se produjeron muertes relacionadas con el tratamiento.
ConclusionesEl hematoma subdural crónico es una patología poco frecuente en las primeras décadas de la vida. Afecta con mayor frecuencia a los varones, y la forma de presentación más habitual es la cefalea. Los índices de recidiva y las complicaciones postoperatorias son significativamente inferiores que las presentes en otros rangos de mayor edad.
The objective of this study was to analyse demographic, clinical and radiological findings and surgical results in a series of chronic subdural haematomas (CSDH) in young adult patients.
Patients and methodsThis retrospective study included 42 patients under 40 years of age who were diagnosed and surgically treated for a CSDH during a 30-year period (1982-2011).
ResultsOf the 42 cases analysed, 32 were males and 10 were females, and the mean age at diagnosis was 29.3±8.9 years (range: 4 to 39 years). The mean interval from trauma to appearance of clinical symptoms was 33.4±9.7 days (range: 19 to 95 days). The main symptoms were headache (59.5%) and seizures (21.4%), and the most frequent predisposing factors were ventriculoperitoneal shunting in 5 (11.9%) patients and haematological disorders in another 5 (11.9%) cases. CSDH was right-sided in 21 cases (50%), left-sided in 19 cases (45.3%) and bilateral in the remaining 2 patients (4.7%). Postoperative complications occurred in 2 patients (1 recurrence and 1 acute subdural haematoma).
ConclusionsCSDH is a rare pathology during the first decades of life. It mainly affects males and headache is usually the first symptom. Prognosis is good in young patients, since postoperative complications and recurrences are less frequent at this age than in older populations.
Artículo

Si es la primera vez que accede a la web puede obtener sus claves de acceso poniéndose en contacto con Elsevier España en suscripciones@elsevier.com o a través de su teléfono de Atención al Cliente 902 88 87 40 si llama desde territorio español o del +34 932 418 800 (de 9 a 18h., GMT + 1) si lo hace desde el extranjero.
Si ya tiene sus datos de acceso, clique aquí.
Si olvidó su clave de acceso puede recuperarla clicando aquí y seleccionando la opción "He olvidado mi contraseña".








