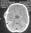
La fascitis craneal es una lesión miofibroblástica benigna infrecuente, de rápido crecimiento, localizada en el cráneo y de aparición preferente en niños durante el primer año de vida. Histológicamente es similar a la fascitis nodular o a la fascitis seudosarcomatosa. Puede mimetizar patologías más agresivas, como histiocitosis o sarcomas, por su rápido crecimiento de forma nodular en el tejido subcutáneo. La resección completa se considera curativa y tiene bajo riesgo de metástasis o de malignización.
En el presente trabajo se presenta el caso de un varón de 4 años con fascitis en tejido celular subcutáneo craneal con erosión de la tabla externa y reacción perióstica circundante, respetando las meninges. El objetivo de este trabajo es destacar la ausencia de necesidad de tratamiento adyuvante con radioterapia o quimioterapia. Se lleva a cabo, además, una revisión de la literatura.
Cranial fasciitis is an uncommon, rapidly-growing, benign, non-tumoural, myofibroblastic lesion of the skull, found mainly among young children in their first year of life. It is histologically similar to nodular fasciitis and pseudosarcomatous fasciitis. It may mimic more aggressive pathologies, such as sarcomatosis or histiocytosis, due to its rapid, nodular growth in subcutaneous tissue. Complete resection is considered curative and, therefore, entails a low risk of metastases or malignant recurrences.
We present the clinical, radiological and pathological findings in a 4-year-old boy with cranial fasciitis in the deep, subcutaneous, soft tissue, with erosion of the outer table of the cranium, which also produced periosteal reaction, while respecting the inner table and meninges. The objective of this article is to highlight the absence of radiotherapeutic or chemotherapeutic adjuvant treatment. In addition, an exhaustive review of the literature is also presented.
Artículo

Si es la primera vez que accede a la web puede obtener sus claves de acceso poniéndose en contacto con Elsevier España en suscripciones@elsevier.com o a través de su teléfono de Atención al Cliente 902 88 87 40 si llama desde territorio español o del +34 932 418 800 (de 9 a 18h., GMT + 1) si lo hace desde el extranjero.
Si ya tiene sus datos de acceso, clique aquí.
Si olvidó su clave de acceso puede recuperarla clicando aquí y seleccionando la opción "He olvidado mi contraseña".










