To describe an atypical clinical and radiological presentation of a brainstem epidermoid cyst in a child and to provide a review of the medical literature on brainstem epidermoid cysts in children.
Material and methodReview of medical records and operative notes of an unusual case of a patient with a brainstem epidermoid cyst. MEDLINE literature search using the terms brainstem, epidermoid cyst and children.
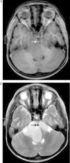
ResultsGross total resection of the cyst was achieved. The patient had an uneventful recovery.
ConclusionEpidermoid cysts are rare tumors of the brain and children. The management of these tumors can be quite challenging. A good clinical and neuroradiological evaluation pre-operatively is fundamental for a successful surgical treatment. Surgical resection should be as radical as possible without putting the patient's neurological status into risk.
Describir una presentación atípica clínica y radiológica de un quiste epidermoide del tronco cerebral en un niño y hacer una revisión de la literatura médica sobre los quistes epidermoides del tronco cerebral en los niños.
Material y métodoRevisión de historias clínicas y notas operativas de un caso inusual de un paciente con un quiste epidermoide del tronco cerebral. Búsqueda bibliográfica de los términos tronco encéfalico, quiste epidermoide y niños.
ResultadosLa resección quirúrgica completa del quiste se logró. El paciente tuvo una recuperación sin complicaciones.
ConclusiónLos quistes epidermoides son tumores poco frecuentes en el cerebro y su manejo implica algunos riesgos. Una buena evaluación clínica y radiológica antes de la operación es fundamental para un tratamiento quirúrgico exitoso. La resección quirúrgica debe ser tan radical como sea posible sin poner el estado neurológico del paciente en riesgo.
Artículo

Si es la primera vez que accede a la web puede obtener sus claves de acceso poniéndose en contacto con Elsevier España en suscripciones@elsevier.com o a través de su teléfono de Atención al Cliente 902 88 87 40 si llama desde territorio español o del +34 932 418 800 (de 9 a 18h., GMT + 1) si lo hace desde el extranjero.
Si ya tiene sus datos de acceso, clique aquí.
Si olvidó su clave de acceso puede recuperarla clicando aquí y seleccionando la opción "He olvidado mi contraseña".





