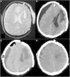
Hinged craniotomy (HC) is an alternative surgical technique that can be used in place of decompressive craniectomy (DC) to treat refractory intracranial hypertension. This procedure has the advantage of avoiding the need for a second surgery to replace the bone, while giving a good control of intracranial pressure. However, there is no consistent literature about complications of HC. In particular, there are no reported cases of contralateral subdural effusion (CSE) after HC. In this article we present a case of a 55-years-old man who developed CSE after a hinged craniotomy (HC) for intracranial hypertension, and how we handled it. Therefore, we explored literature to better understand the pathogenesis of CSE, treatments and possible prevention strategies.
La craneotomía flotante (CF) es una técnica quirúrgica alternativa que puede utilizarse en lugar de la craniectomía descompresiva (CD) para tratar la hipertensión intracraneal refractaria. Este procedimiento tiene la ventaja de evitar la necesidad de una segunda cirugía para reponer el hueso, al tiempo que proporciona un buen control de la presión intracraneal. Sin embargo, no existe bibliografía consistente sobre las complicaciones de la CF. En particular, no se ha descrito ningún caso de derrame subdural contralateral (DSC) tras una CF. En este artículo presentamos el caso de un varón de 55 años que desarrolló un derrame subdural contralateral tras una CF por hipertensión intracraneal y cómo se ha manejado. Así pues, exploramos la literatura para comprender mejor la patogenia del DSC, los tratamientos y las posibles estrategias de prevención.
Artículo

Si es la primera vez que accede a la web puede obtener sus claves de acceso poniéndose en contacto con Elsevier España en suscripciones@elsevier.com o a través de su teléfono de Atención al Cliente 902 88 87 40 si llama desde territorio español o del +34 932 418 800 (de 9 a 18h., GMT + 1) si lo hace desde el extranjero.
Si ya tiene sus datos de acceso, clique aquí.
Si olvidó su clave de acceso puede recuperarla clicando aquí y seleccionando la opción "He olvidado mi contraseña".





