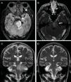
Paciente varón de 50 años quien tras 3 meses de un traumatismo encefalocraneano presenta proptosis, quemosis y exoftalmos en el ojo izquierdo. Posteriormente desarrolla dismetría en las extremidades izquierdas y hemiparesia derecha. Se establece el diagnóstico de fístula carótido-cavernosa (FCC) asociado a hiperintensidad de señal en FLAIR y captación difusa de contraste al nivel de la protuberancia y pedúnculo cerebeloso, de aspecto pseudotumoral. Dicho hallazgo fue compatible con congestión venosa. Sus síntomas fueron fluctuantes; comenzó con síntomas orbitarios y luego de territorio posterior con mejoría de los síntomas orbitarios. La embolización con microcoils de la FCC produjo la resolución de los síntomas oculares seguido por mejoría de los síntomas de tronco encefálico. Los hallazgos en resonancia magnética revirtieron considerablemente al año de seguimiento. Describimos un caso de FCC directa con congestión venosa en el tronco encefálico y síntomas fluctuantes con una considerable mejoría clínica e imagenológica después del tratamiento.
A 50-year-old male patient who, after 3 months of cranial brain trauma, presented proptosis, chemosis and exophthalmos in the left eye. Subsequently, dysmetria develops in the left extremities and right hemiparesis. The diagnosis of carotid-cavernous fistula (FCC) associated with hyperintensity of signal in FLAIR and diffuse contrast uptake at the level of the pseudo tumoral protuberance and cerebellar peduncle was established. This finding was compatible with venous congestion. His symptoms were fluctuating, he started with orbital symptoms and then from the posterior fossa with improvement of the orbital symptoms. FCC microcoil embolization produced resolution of ocular symptoms followed by improvement of brainstem symptoms. Magnetic resonance findings significantly reversed one year of follow-up. We describe a case of direct FCC with venous congestion in the brainstem and fluctuating symptoms with a considerable clinical and imaging improvement after treatment.
Artículo

Si es la primera vez que accede a la web puede obtener sus claves de acceso poniéndose en contacto con Elsevier España en suscripciones@elsevier.com o a través de su teléfono de Atención al Cliente 902 88 87 40 si llama desde territorio español o del +34 932 418 800 (de 9 a 18h., GMT + 1) si lo hace desde el extranjero.
Si ya tiene sus datos de acceso, clique aquí.
Si olvidó su clave de acceso puede recuperarla clicando aquí y seleccionando la opción "He olvidado mi contraseña".








