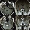
Los condromas craneales son tumores derivados de remanentes de células embrionarias condrocíticas que habitualmente aparecen en la sincondrosis de la base del cráneo. A diferencia del resto del organismo,donde los tumores condroides constituyen el tumor óseo primario más frecuente solo por detrás de los de estirpe hematopoyética, a nivel craneal constituyen una entidad poco frecuente con una incidencia de menos del 1% de los tumores intracraneales. Presentamos el caso de un varón de 42años remitido a nuestra consulta por el hallazgo de una lesión extraaxial situada en la región del cavum de Meckel y extensión a la fosa posterior con compresión del troncoencéfalo tras clínica de paraparesia de 6meses de evolución. Bajo el diagnóstico de un neurinoma del V par craneal se realiza una exéresis subtotal del tumor mediante un abordaje combinado supra-infratentorial presigmoideo. El resultado anatomopatológico postoperatorio confirma el diagnóstico de condroma craneal.
Cranial chondromas are tumours arising from chondrocyte embryonic remnants cells that usually appear in the skull base synchondrosis. In contrast to the rest of the organism, where chondroid tumours are the most common primary bone tumour just behind the haematopoietic lineage ones, they are a rarity at cranial level, with an incidence of less than 1% of intracranial tumours. The case is reported on a 42 year-old male referred to our clinic due to the finding of an extra-axial lesion located close to the Meckel's cave region, with extension to the posterior fossa and brainstem compression after progressive paraparesis of 6 months onset. With the diagnosis of trigeminal schwannoma, a subtotal tumour resection was performed using a combined supra-infratentorial pre-sigmoidal approach. The postoperative histopathology report confirmed the diagnosis of cranial chondroma.
Artículo

Si es la primera vez que accede a la web puede obtener sus claves de acceso poniéndose en contacto con Elsevier España en suscripciones@elsevier.com o a través de su teléfono de Atención al Cliente 902 88 87 40 si llama desde territorio español o del +34 932 418 800 (de 9 a 18h., GMT + 1) si lo hace desde el extranjero.
Si ya tiene sus datos de acceso, clique aquí.
Si olvidó su clave de acceso puede recuperarla clicando aquí y seleccionando la opción "He olvidado mi contraseña".








