Reportar la experiencia del manejo de los cordomas y condrosarcomas por abordaje endoscópico endonasal extendido.
MétodoSe realizó un análisis retrospectivo de una serie de 14 pacientes afectos de cordomas o condrosarcomas clivales operados mediante un abordaje endoscópico endonasal extendido por un mismo equipo multidisciplinar, en el intervalo de tiempo desde 2008 hasta 2016.
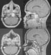
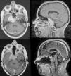
ResultadosCatorce pacientes (hombre/mujer 2:1) con una media de edad de 49años en los cordomas y de 32años en los condrosarcomas. La presentación clínica más frecuente fue la diplopía (78,5% de los casos), seguida de la disfagia (28,6%). Histológicamente se reportaron como cordomas el 71,4% y como condrosarcomas el 28,6%. Además, se encontró en el 81% de los casos invasión de al menos dos o más tercios del clivus, en el 57,1% invasión intradural y en el 35,7% invasión sellar. En el 42,8% de los casos el grado de resección fue total y en el 21,5%, subtotal. La complicación más frecuente fue la fístula de LCR, que se presentó en el 28,6% de los casos, habiendo que intervenir solo a un paciente. En el 35,7% de los casos se indicó tratamiento coadyuvante con Proton Beam y en el 21,5% radioterapia convencional. La media de seguimiento fue de 53,5meses, y se encontró recurrencia o progresión tumoral en el 21,5% de los casos, dos de los cuales no había recibido coadyuvancia. No hubo fallecimientos.
ConclusiónEl abordaje endoscópico endonasal extendido, realizado por un equipo experimentado, es una buena alternativa de manejo para estas lesiones. La invasión intradural podría estar relacionada con un mayor riesgo de complicaciones y una mayor afectación clínica al diagnóstico, así como con una menor tasa de resección total.
To report our experience in the management of chordoma and chondrosarcoma with extended endoscopic endonasal surgery.
MethodWe performed a retrospective analysis of a series of 14 patients with clival chordoma or chondrosarcoma who had extended endoscopic endonasal surgery from 2008 to 2016 performed by the same multidisciplinary team.
ResultsWe had fourteen patients (male/female 2:1), with a mean age of 49years for chordoma and 32 for chondrosarcoma. The most common clinical presentation was diplopia in 78.5% of cases, followed by dysphagia in 28.6%. Histologically, 71.4% were chordomas and 28.6% were chondrosarcomas. In addition, invasion of at least two thirds or more of the clivus was found in 81% of the cases; in 57.1% there was intradural invasion, and in 35.7% invasion of the sella turcica. In 42.8% of cases, the degree of resection was total and in 21.5% subtotal. The most common complication was CSF fistula, occurring in 28.6% of the cases, with only one case requiring surgery to repair it. Adjuvant treatment with Proton Beam was performed in 35.7% of cases and with conventional radiotherapy in 21.5%. Mean follow-up was 53.5months and tumour recurrence or progression was found in 21.5% of the cases, two of which had not received adjuvant treatment. There were no deaths.
ConclusionThe extended endoscopic endonasal approach (EEEA) performed by an experienced team is a good alternative for the management of these lesions. Intradural invasion may be related to an increased risk of complications and worse clinical presentation, in addition to a lower rate of total resection.
Artículo

Si es la primera vez que accede a la web puede obtener sus claves de acceso poniéndose en contacto con Elsevier España en suscripciones@elsevier.com o a través de su teléfono de Atención al Cliente 902 88 87 40 si llama desde territorio español o del +34 932 418 800 (de 9 a 18h., GMT + 1) si lo hace desde el extranjero.
Si ya tiene sus datos de acceso, clique aquí.
Si olvidó su clave de acceso puede recuperarla clicando aquí y seleccionando la opción "He olvidado mi contraseña".







