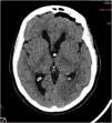
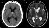
An extremely rare complication of endoscopic colloid cyst removal is presented. Terson’s syndrome related to endoscopic resection of a colloid cyst has been reported only twice before in the literature and it could be explained by intracranial hypertension related to rinsing during the procedure. The case is described and the complications in the neuroendoscopic removal of colloid cyst are reviewed from the literature.
Se presenta el caso de una rara complicación del tratamiento endoscópico e un quiste coloide. El síndrome de Terson en relación a la resección endoscópica de un quiste coloide ha sido publicada en solo dos ocasiones y podría estar relacionado con el aumento de presión intracraneal durante el procedimiento. Se describe el caso, así como las complicaciones potenciales del tratamiento endoscópico de los quistes coloides publicadas en la literatura.
Article

If it is the first time you have accessed you can obtain your credentials by contacting Elsevier Spain in suscripciones@elsevier.com or by calling our Customer Service at902 88 87 40 if you are calling from Spain or at +34 932 418 800 (from 9 to 18h., GMT + 1) if you are calling outside of Spain.
If you already have your login data, please click here . p>
If you have forgotten your password you can you can recover it by clicking here and selecting the option ¿I have forgotten my password¿.







