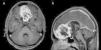
Los schwannomas son neoplasias de la vaina nerviosa originadas de las células de Schwann. Usualmente son solitarios y esporádicos, presentándose en relación a nervios periféricos, espinales o craneales. A nivel intracraneal, presentan una gran predisposición a originarse en el viii par craneal, especialmente en pacientes con neurofibromatosis tipo2. Los schwannomas de la base anterior del cráneo corresponden a menos del 1% del total de schwannomas intracraneanos. Son frecuentes en pacientes jóvenes y usualmente tienen un curso clínico benigno. Estos tumores representan un reto diagnóstico debido a su poca incidencia y sus diagnósticos diferenciales. Se han planteado varias teorías sobre su origen y desarrollo. Se presenta el caso de un paciente varón de 13años sin estigmas clínicos de neurofibromatosis, con un cuadro de cefalea, dolor ocular, papiledema y disminución de la agudeza visual en el cual se documentó un tumor único ubicado en la fosa craneal anterior. Se realizó una resección completa de la masa tumoral, cuyo diagnóstico histopatológico fue de schwannoma, y presentó una recuperación clínica de todos sus síntomas. En una revisión bibliográfica se ubicó un total de 66 pacientes reportados a nivel mundial con este diagnóstico. Se describen sus características epidemiológicas y clínicas más relevantes, así como la relación con los tumores de las células de la vaina olfatoria, una entidad descrita recientemente y que presenta gran similitud.
Schwannomas are nerve sheath tumours that originate in Schwann cells. They are usually solitary and sporadic and manifest on peripheral, spinal or cranial nerves. Intracranial schwannomas tend to manifest on the eighth cranial nerve, particularly in patients with neurofibromatosis type2. Anterior skull-base schwannomas represent less than 1% of all intracranial schwannomas. They are more frequent in young people and are typically benign. These tumours represent a diagnostic challenge due to their rarity and difficult differential diagnosis, and numerous theories have been postulated concerning their origin and development. In this article, we present the case of a 13-year-old male with a single anterior cranial-base tumour not associated with neurofibromatosis who presented with headache, papilloedema, eye pain and loss of visual acuity. Complete resection of the tumour was performed, which was histopathologically diagnosed as a schwannoma. The patient made a complete clinical recovery with abatement of all symptoms. We conducted a review of the literature and found 66 cases worldwide with this diagnosis. We describe the most relevant epidemiological and clinical characteristics of this kind of tumour and its relation with the recently discovered and similar olfactory schwannoma.
Article

If it is the first time you have accessed you can obtain your credentials by contacting Elsevier Spain in suscripciones@elsevier.com or by calling our Customer Service at902 88 87 40 if you are calling from Spain or at +34 932 418 800 (from 9 to 18h., GMT + 1) if you are calling outside of Spain.
If you already have your login data, please click here . p>
If you have forgotten your password you can you can recover it by clicking here and selecting the option ¿I have forgotten my password¿.









