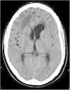
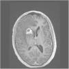
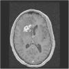
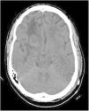
Isolated neurosarcoidosis is a very rare disease, which makes up 5–15% of sarcoidosis cases. Hydrocephalus is a rare clinical feature with a prevalence of 6% among these patients. Considering neurosarcoidosis in the differential diagnosis of a unique parenquimal mass lesion could help in the early identification of this disease.
We report the case of a 27-year-old African man who developed with a sole intracranial mass lesion mimicking radiologically a glioma, which finally came out as an isolated neurosarcoidosis.
There is a difficulty in diagnosis when isolated neurosarcoidosis appears. In addition, the low prevalence of the disease entails a not standardized medical treatment. Natural outcome is poor even when hydrocephalus is resolved. Multimodal treatments including complete pharmacological treatment do not seem to assure a better outcome in these patients until date.
La neurosarcoidosis cerebral aislada es una enfermedad muy rara, que representa entre el 5-15% de los casos de sarcoidosis. La hidrocefalia es una característica clínica poco frecuente, con una prevalencia del 6% entre estos pacientes. Considerar la neurosarcoidosis en el diagnóstico diferencial de una lesión de tipo masa parenquimatosa única puede ayudar en la identificación temprana de esta enfermedad.
Presentamos el caso de un varón africano de 27 años de edad, que presenta una lesión de tipo masa única intracraneal que simulaba radiológicamente un glioma, y que finalmente se reveló como una neurosarcoidosis aislada.
Es difícil establecer un diagnóstico cuando aparece una neurosarcoidosis cerebral aislada. Además, la baja prevalencia de la enfermedad conlleva un tratamiento médico no estandarizado. El pronóstico natural es malo, incluso cuando se resuelve la hidrocefalia. Hasta la fecha, los tratamientos multimodales, incluido el tratamiento farmacológico completo, no parecen asegurar un mejor resultado en estos pacientes.
Article

If it is the first time you have accessed you can obtain your credentials by contacting Elsevier Spain in suscripciones@elsevier.com or by calling our Customer Service at902 88 87 40 if you are calling from Spain or at +34 932 418 800 (from 9 to 18h., GMT + 1) if you are calling outside of Spain.
If you already have your login data, please click here . p>
If you have forgotten your password you can you can recover it by clicking here and selecting the option ¿I have forgotten my password¿.




