Moyamoya disease (MMD) and moyamoya syndrome (MMS) are considered rare in Indonesia, without any proper epidemiological data backing this claim. Hence, this case series aims to assess all MMD and MMS cases from the perspective of a multicentre private hospital in Indonesia.
MethodsThis is a descriptive analysis using data from the picture archiving and communication system (PACS) from January 2019 to December 2023. The inclusion criteria included all patients who fulfilled the radiological criteria for MMD and/or MMS, while patients who only underwent brain non-contrast computed tomography (CT) scans were excluded.
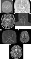
ResultsThere are 58,905 unique MRI scans from 2019 to 2023. The cohort comprises 8 females and 2 males, with a median age of 37 (7–65) years old. Three cases are probable MMD. with six MMD cases and one MMS case. Therefore, the prevalence rate for the four years is approximately 11.9 cases per 100,000 scans. Out of the confirmed Moya-Moya cases, the majority (4/7) are ischemic subtypes, followed by epileptic (electroencephalography shows slowing brain waves) and TIA in one case each. The most common presenting symptom is weakness in the extremity (N = 7), followed by headache (N = 5). Four patients underwent operative procedures, with three of them being superior temporal artery to middle cerebral artery (STA-MCA) bypass procedures and one of them being encephalo-duro-myo-arterio-pericraniosynangiosis (EDMAPS).
ConclusionThe paucity of confirmed cases either points towards the low prevalence of MMD and MMS in Indonesia or the underdiagnosis of these cases.
La enfermedad de Moyamoya (MMD) y el síndrome de Moyamoya (MMS) se consideran raros en Indonesia, sin datos epidemiológicos adecuados que respalden esta afirmación. Por lo tanto, esta serie de casos tiene como objetivo evaluar todos los casos de MMD y MMS desde la perspectiva de un hospital privado multicéntrico en Indonesia.
MétodosEste es un análisis descriptivo utilizando datos del sistema de comunicación y archivo de imágenes (PACS) desde enero de 2019 hasta diciembre de 2023. Los criterios de inclusión incluyeron a todos los pacientes que cumplían los criterios radiológicos para MMD y/o MMS, mientras que los pacientes que solo se sometieron a cirugía cerebral no -Se excluyeron las tomografías computarizadas (TC) de contraste.
ResultadosHay 58.905 exploraciones de resonancia magnética únicas entre 2019 y 2023. La cohorte está compuesta por 8 mujeres y 2 hombres, con una edad promedio de 37 (7–65) años. Tres casos son probables de MMD. con seis casos de MMD y un caso de MMS. Por lo tanto, la tasa de prevalencia para los cuatro años es de aproximadamente 11,9 casos por 100.000 exploraciones. De los casos confirmados de Moya-Moya, la mayoría (4/7) son subtipos isquémicos, seguidos por los epilépticos (la electroencefalografía muestra una ralentización de las ondas cerebrales) y el AIT en un caso cada uno. El síntoma de presentación más común es debilidad en las extremidades (N = 7), seguido de dolor de cabeza (N = 5). Cuatro pacientes se sometieron a procedimientos quirúrgicos, tres de ellos fueron procedimientos de derivación de la arteria temporal superior a la arteria cerebral media (STA-MCA) y uno de ellos fue encefalo-duro-mio-arterio-pericraniosinangiosis (EDMAPS).
ConclusiónLa escasez de casos confirmados apunta hacia la baja prevalencia de MMD y MMS en Indonesia o el subdiagnóstico de estos casos.
Article

If it is the first time you have accessed you can obtain your credentials by contacting Elsevier Spain in suscripciones@elsevier.com or by calling our Customer Service at902 88 87 40 if you are calling from Spain or at +34 932 418 800 (from 9 to 18h., GMT + 1) if you are calling outside of Spain.
If you already have your login data, please click here . p>
If you have forgotten your password you can you can recover it by clicking here and selecting the option ¿I have forgotten my password¿.








